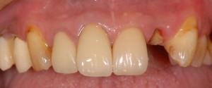
被せ物の入っていた前歯が割れてしまったという患者さんです
破折は被せ物だけではなく、歯の根っこまでに及んでいた為抜歯となりました

割れた被せ物を外したところです

割れた根っこを抜歯しました
抜歯後インプラントを埋入するので骨が割れてしまわないように
慎重に抜歯は行います

唇側の骨は著しく吸収しています

インプラントを埋入して、骨補填材を使用しました

縫合し止血を確認したのち、ダミーの歯を装着しました
歯の根元は抜歯した部分に影響がないようにあえて隙間を設けていますが
日常生活では審美的な問題は生じません
このごインプラントの生着を待ち二次オペへと進んでいく予定です
【渋谷 初台 代々木 新宿】破折した前歯のインプラント【抜歯即時埋入】
2016-04-04
