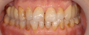
歯の着色が気になっていた患者さんです
before

全体的に歯の着色がみられます
特に正面向かって左側の下の歯には強い色素沈着が認められます
トリートメントケアを行い今ある汚れをとり除くとともに、
色素沈着のしにくい歯を目指します
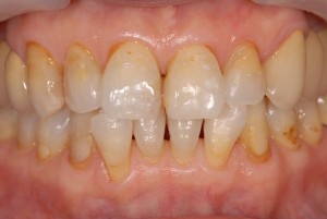
after

トリートメントケア後の写真です
むし歯が原因の変色等をのぞいた外来色素による汚れが綺麗に
なりました
状態を維持するには定期的なケアが必要ですが、
日頃の食習慣を見直すことでより長く綺麗な状態を保つ
ことができます
【新宿 初台 渋谷 代々木】笑顔が気になる着色【白い歯 審美】
2016-03-28
カテゴリー トリートメント
