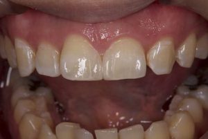
前歯のすきっ歯|ダイレクトボンディング【初台 新宿 渋谷 代々木】 2016-04-13 すきっ歯が気になり、来院された患者様の症例写真をご紹介いたします。 Before After カテゴリー すきっ歯が気になる « 【渋谷 初台 代々木 新宿】破折した前歯のインプラント【抜歯即時埋入】 【初台 新宿】すきっ歯|ダイレクトボンディング|岡歯科医院 »