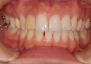
歯の茶色い汚れを気にされたいた患者さんです
来院時の写真です
一本の前歯を除いて全体的に汚れてしまっています

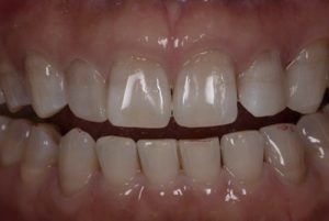
衛生士によるケアで、ここまでキレイになりました

キレイにしても定期的なメンテナンスと生活習慣の改善をしないと、汚れはまたついてしまいます
患者さんもキレイになった歯をみてとても喜んでいらっしゃいました。元の状態に戻らないように
意欲が高まったようです。
歯の茶色い汚れを気にされたいた患者さんです
来院時の写真です
一本の前歯を除いて全体的に汚れてしまっています

衛生士によるケアで、ここまでキレイになりました

キレイにしても定期的なメンテナンスと生活習慣の改善をしないと、汚れはまたついてしまいます
患者さんもキレイになった歯をみてとても喜んでいらっしゃいました。元の状態に戻らないように
意欲が高まったようです。
前歯にインプラントを入れる患者さんです
仮歯を外したところです。
正面の歯がないのがわかります

歯ぐきを開いた写真です
歯がない状態が長かったため、骨の幅が薄くなっています
このままの状態でインプラントを入れるのは通常は困難です

インプラントを厳密に埋入した後、骨増生の為の処置をしました
下は、ソーセージテクニックの写真です
膜の中に密に詰め込まれているため、通常のオペより骨が作られる事の期待ができます

縫合して止血をしたところです
このあと仮歯を入れてからお帰りいただきましたので、見た目は
あまりきになりません

次回は二次オペをおこないます
ガミースマイルを治したいと来院された患者さんです
笑顔になった時に歯ぐきが見えてしまっています

手術で唇が上がり過ぎないようにすることにしました
術中の写真です
痛そうに見えますが麻酔が効いているので痛みは感じません

切った粘膜部分を縫合したところです

術後の写真です
オペ前と比べるとガミースマイルが改善されているのがわかります

はじめはぎこちないですが、表情筋のトレーニングなども行うことで
次第になれていきます
即日でガミースマイルの改善ができて患者さんも喜んでいました
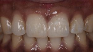
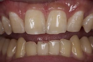
ホワイトニングと、メタルボンドクラウンのかぶせもの治療を
行った患者さんの症例をご紹介します。
Before

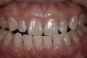
After

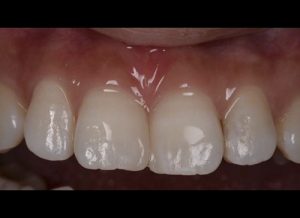
ホワイトニングを行い、またe-maxでの治療を行った患者さんの症例をご紹介いたします。
審美的にも大変満足していただきました。
【ホワイトニング】
Before

After

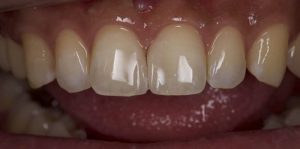
【e-max】
Before

After
