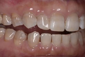
【初台 新宿 渋谷 代々木】すきっ歯|ダイレクトボンディング|岡歯科医院 2016-04-13 すきっ歯が気になり、来院された患者さんの症例をご紹介いたします。 機能面で大変ご満足された症例になります。 Before After カテゴリー すきっ歯が気になる « 【初台 新宿】すきっ歯|ダイレクトボンディング|岡歯科医院 【初台 渋谷 代々木】すきっ歯|ダイレクトボンディング »